JAK BYĆ ZDROWYM CAŁE ŻYCIE - Ryszard Piotr Trener Zdrowia, propagator zdrowego stylu życia.
NIE WSZYSTKIE TREŚCI Z OPUBLIKOWANYCH MATERIAŁÓW, ODZWIERCIEDLAJĄ POGLĄDY ADMINISTRATORA STRONY.
środa, 24 czerwca 2015
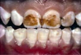
Fluor, miał chronić a okazuje się że uszkadza zęby. Zobacz film.
‹
›
Strona główna
Wyświetl wersję na komputer